Stomatologie Pro Zdravé Úsměvy

Co může způsobit zánět v zubech? Příčiny, které nečekáte


Co může způsobit zánět v zubech? Příčiny, které nečekáte
Mar, 2 2026

Rizikový test zánětu v zubech

Testujte své rizikové faktory

Tento krátký test pomůže vám zjistit, které z faktorů zmiňovaných v článku nejvíce ovlivňují vaše zubní zdraví. Pro každou otázku vyberte nejvhodnější možnost.

Výsledek:

Poznámka: Tento test je pouze informační. Pro přesnou diagnostiku a léčbu navštivte zubního lékaře.

Zánět v zubech není jen bolest, která vás probudí v polovině noci. Je to signál, že něco v ústech selhává - a často to není to, co si myslíte. Mnoho lidí si myslí, že zánět vzniká jen kvůli špatné hygieně, ale pravda je složitější. Příčiny mohou být skryté, nečekané a dokonce související s tím, co jíte, jak spíte nebo jaký lék užíváte.

Zubní kámen - neviditelný nepřítel

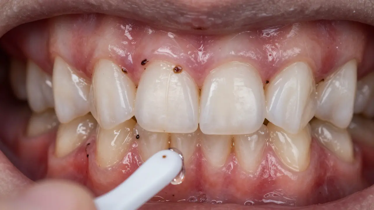
Nejčastější příčina zánětu v zubech není kávový zub, ale zubní kámen - tvrdý nános bakterií a minerálů, který se tvoří na zubech, pokud se neodstraňuje pravidelně. Když se zubní plak neodstraňuje 2x denně, začíná kalcitovat. Za 3-6 měsíců se z něj stane tvrdý, neodstranitelný nános. Ten drží bakterie přímo u dásní, kde způsobují zánět dásní - první fázi parodontitidy. Většina lidí si toho nevšimne, dokud nezačnou krvácet při čištění. Ale už v této fázi je zánět aktivní a může se rozšířit do kosti kolem zubu.

Co dělají kyselé potraviny?

Představte si, že každý den jíte půlky citrónu nebo piješ energo-nápoj. Kyselina v těchto potravinách eroduje sklovinku - tvrdý povrch zubu, který chrání vnitřní tkáně. Když se sklovinka ztenčí, zubní zářez se stává citlivým. Bakterie pak pronikají do dentinu - měkčí vrstvy pod sklovinkou, která obsahuje nervy. To není kávový zub - to je chemická destrukce - zánět způsobený kyselinou, ne bakteriemi. Studie z roku 2024 z Univerzity v Brně ukázaly, že 37 % lidí s chronickým zánětem zubů má přímo spojení s pravidelným konzumováním kyselých nápojů, i když čistí zuby každý den.

Stres a spánek - nečekané příčiny

Když spíte zavřené čelisti nebo zubíte během noci, zubní kmeny se zatlačují. To se nazývá bruxismus - nevolní zatlačování nebo škrábání zubů. Výsledkem jsou mikrotrhliny v sklovince. Tyto trhliny nejsou vidět, ale jsou ideální cestou pro bakterie, které se dostanou do vnitřního zubního nervu. Stres také zvyšuje hladinu kortizolu, což oslabí imunitní odpověď v ústech. To znamená, že i malé infekce se rychle rozšíří. Lidé s chronickým stresem mají 2,5krát vyšší riziko zánětu dásní podle dat z Národního ústavu zubního zdraví (2025).

Kyselá šťáva eroduje sklovinku zubu, kde pronikají bakterie do dentinu.

Léky, které suší ústa

Nejčastější léky, které způsobují zánět zubů, nejsou antibiotika - ale antidepresiva, léky na krevní tlak a léky na alergie - všechny způsobují sucho v ústech. Slina není jen tekutina, která vám pomáhá hltat. Je to vaše přírodní obrana. Obsahuje enzymy, které ničí bakterie, a minerály, které obnovují sklovinku. Když máte suchá ústa, slina nestíhá pracovat. Bakterie se množí, plak se rychle tvoří a zánět začíná. Studie z roku 2023 zjistila, že 43 % pacientů s chronickým zánětem dásní užívá léky, které způsobují xerostomii (suchost úst).

Špatně vložené zubní náhrady

Když máte korunku, most nebo protezu, která není přesně přizpůsobená, vznikají mezery. Tam se usazuje jídlo, bakterie se hromadí a dásně se zánětlivě zvětšují. Mnoho lidí si myslí, že když je zubní náhrada pevná, je v pořádku. Ale to není pravda. I malá nerovnost 0,2 mm může být problém. V praxi to znamená, že každá zubní náhrada, která je starší než 5 let, by měla být zkontrolována. Pokud se kolem ní vytváří červená, otoklá dásň, je to signál, že se pod ní šíří infekce.

Bruxismus během spánku způsobuje mikrotrhliny v zubech a stres ovlivňuje ústní imunitu.

Co dělat, když už zánět začal?

  • Přestaňte používat běžné zubní pasty s alkoholem - mohou zhoršit zánět.
  • Používejte zubní pastu s chlorhexidinem - látkou, která účinně zabíjí bakterie v dásních.
  • Používejte zubní nit - každý den, ne jen když se vám to hodí.
  • Pijte více vody - zvláště po jídlech, pokud nemůžete zuby okamžitě čistit.
  • Navštivte zubního lékaře za 2 týdny, i když bolest zmizí - zánět může být bezbolestný, ale stále aktivní.

Když zánět přežívá i po léčbě

Někdy zánět neustane, i když jste čistili zuby, navštívili lékaře a změnili stravu. V takových případech je důležité zkontrolovat systémová onemocnění - diabet, autoimunitní onemocnění, nebo selhání ledvin. Tyto nemoci ovlivňují zdraví úst způsobem, který se neukazuje na rentgenovém snímku. Například diabetikové mají 3krát vyšší riziko parodontitidy. Pokud máte opakující se zánět dásní a nevíte proč, nechte si změřit hladinu cukru v krvi. To může být první signál něčeho většího.

Co je největší chyba lidí?

Největší chyba je čekat na bolest. Zánět zubů nezačíná bolestí. Začíná tím, že se dásně lehce červenají, že vás štětěcinky zasahují při čištění, že máte zápach z úst, který nezmizí. Tyto příznaky nejsou „jen zvědavost“ - jsou to varování. Většina lidí si je nechávají na pozadí, dokud nezačnou zuby vypadávat. A pak je příliš pozdě. Zánět v zubech je nejčastější příčinou ztráty zubů u dospělých - víc než kávový zub, víc než úraz, víc než věk. A je to většinou úplně preventibilní.

Může zánět v zubech způsobit bolest hlavy?

Ano. Zánět v zubech, zejména v zadních zubech, může ovlivňovat klouby a svaly čelisti. To může vést k napětí v oblasti krku a hlavy, což se projevuje jako bolest hlavy nebo migréna. Někdy se bolest hlavy vyskytuje i bez bolesti zubů - což je důvod, proč mnoho lidí neví, že jejich bolest hlavy může být způsobena zubním zánětem.

Je pravda, že zubní kámen může způsobit infekci v krevním oběhu?

Ano, ale jen u lidí s určitými rizikovými faktory. Když je zánět dásní vážný a trvá déle než 6 měsíců, bakterie mohou proniknout do krevního oběhu, zejména pokud máte slabší imunitu, kardiologické onemocnění nebo náhradní klouby. To se nazývá bakteriemie. I když je to vzácné, zubní kámen je jednou z nejčastějších příčin, proč se lékaři ptají na zdraví úst před operacemi.

Může zánět v zubech ovlivnit těhotenství?

Ano. Studie z roku 2024 zveřejněná v časopise Journal of Periodontology ukázala, že ženy s aktivní parodontitidou mají o 70 % vyšší riziko předčasného porodu nebo nízké hmotnosti novorozence. Zánět dásní zvyšuje hladinu inflamačních látek v těle, což může ovlivnit plod. Proto je zubní péče během těhotenství nejen důležitá - je životně důležitá.

Je možné zastavit zánět jen změnou stravy?

Ne. Strava může pomoci - například příjem vápníku, vitamínu C a D podporuje zdraví dásní. Ale pokud už máte zubní kámen nebo infekci, změna stravy sama o sobě zánět nezastaví. Potřebujete očistu u zubního lékaře. Strava je podpora, ne lék.

Kolikrát bych měl chodit na očistu zubů, když mám zánět?

Pokud máte aktivní zánět dásní, doporučuje se očistit zuby každé 3-4 měsíce, dokud se stav nezlepší. Standardní 6měsíční kontrola je pro vás příliš pomalá. Po zlepšení se můžete vrátit k běžnému plánu. Ale pokud máte opakující se zánět, může být potřeba pravidelné očištění každé 4 měsíce navždy.